専門医が解説!虚血性腸炎について
虚血性腸炎とは?
虚血性腸炎は、腸(主に大腸)への血流が一時的に減少することで、腸の組織が酸素不足になり傷ついてしまう病気です。別名「虚血性大腸炎」とも呼ばれます。
ほとんどの場合、一過性で、数日から1〜2週間で自然に回復することが多いですが、一部の患者様では腸が壊死するなど重症化し、緊急手術が必要となることもあります。
どんな症状が出ますか?
虚血性腸炎の症状は突然現れます。
- 突然の腹痛: 特にお腹の左側に感じることが多いです。小腸の虚血に比べて、痛みは比較的軽度であることが一般的です。
- 血便または下痢: 腹痛に続いて、赤色や暗赤色の血便、または血の混じった下痢が出ることがよくあります。これは、発症から24時間以内に出現することが多いです。小腸の虚血では、血便はかなり進行した段階でしか見られないことが多いのに対し、大腸の虚血では比較的早期から見られます。
- 発熱: 炎症に伴って熱が出ることがあります。
- お腹の張りや吐き気、嘔吐が伴うこともあります。
症状の程度は様々で、重症になると、痛みが持続的になり、お腹全体が張ってきたり、腹膜炎の兆候(お腹を触ると強く痛むなど)が現れることもあります。
原因とリスク要因は?
特に以下の状況にある方は、発症しやすい傾向があります
主な原因
💢腸への負担
排便時のいきみや頻繁な下痢など、腸に大きな負担がかかり、一時的な血流減少が加わって発症します。
💔全身の血流低下
心臓の機能低下、ショック状態など、全身の血流が一時的に低下すると発症します。
リスク要因
- 高血圧、糖尿病、高コレステロール血症などの生活習慣病
- 心臓病(心不全、不整脈、心筋梗塞など)
- 末梢動脈疾患
- 血管を収縮させる薬(ジギタリス、一部の鎮痛剤など)
- 一部の抗生物質や免疫抑制剤
- 便秘薬の過剰使用
- ピル(経口避妊薬)
どのように診断しますか?
症状やリスク要因から虚血性腸炎が疑われる場合、以下の検査を行います。
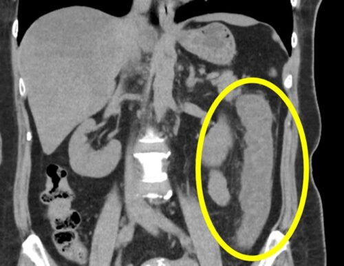
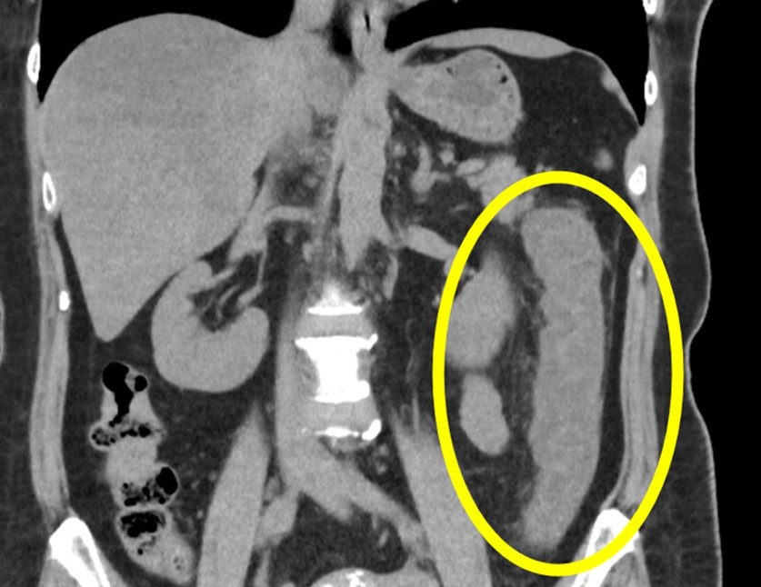
CT検査(コンピューター断層撮影)
- 腸の壁がむくんで厚くなっている様子が確認できます。
- 重症の虚血では、腸の壁の中にガスが貯留する「腸管気腫(pneumatosis coli)」や、腹腔内の液体貯留が見られることもあります。
- 造影剤を使用して腸の血管の状態や血流不全の有無を評価することもあります。
- 他の腹痛の原因(虫垂炎、憩室炎、腸閉塞など)を除外するためにも有用です。

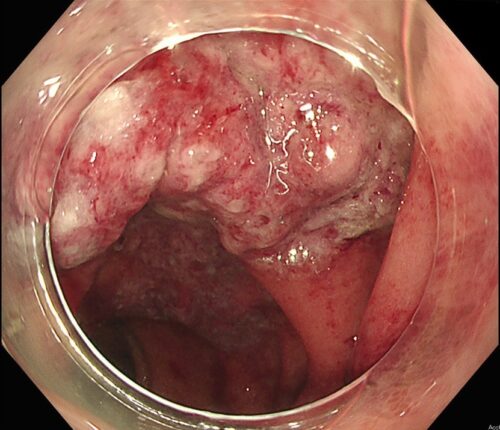
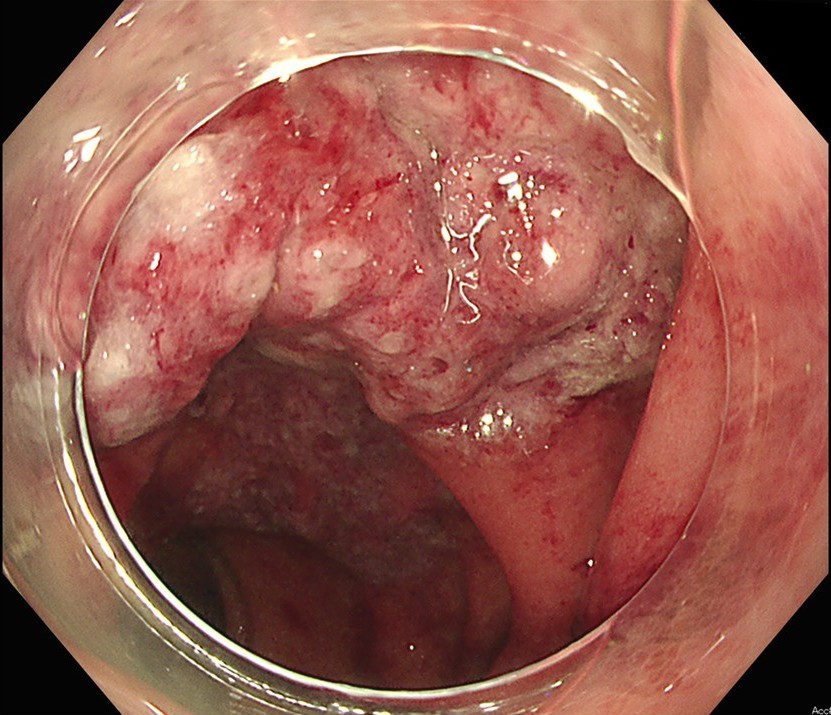
内視鏡検査(大腸カメラ)
大腸カメラが最も重要な診断方法です。
- 腸の粘膜を直接観察し、虚血によるむくみ、赤み、出血、そして特徴的な潰瘍(ただれ)を確認します。
- 典型的な例では、横行結腸からS状結腸にかけて、縦に走るような潰瘍が見られます。
- 潰瘍性大腸炎やクローン病といった炎症性腸疾患など、他の病気と区別するためにも役立ちます。
- ただし、お腹に強い炎症が起きている場合や、腸が壊死している可能性が高い場合は、検査ができないことがあります。


血液検査
- 炎症反応(白血球数、CRPなど)の上昇が見られます。
- 腸のダメージが強い場合は、乳酸値の上昇や代謝性アシドーシスが見られることもあります。
治療について
虚血性腸炎の治療は、その重症度と原因によって異なります。多くの場合、保存的治療により回復が期待できますが、一部の患者さんでは手術が必要となることもあります。
📅 通常の回復期間
保存的治療により10日前後で症状が改善し、1〜2週間で完全に回復することが多いです。
約15%の患者さんでは、腸の傷が治る過程で腸管が狭くなる(狭窄)ことがあります。
約5%の患者さんでは、腸が壊死してしまい、緊急手術が必要になることがあります。
⚠️ 特に注意が必要なケース
右側の大腸に虚血が起きている場合は、小腸の虚血を伴うことが多く、重症化しやすい傾向があります。このような場合、手術が必要となる確率や死亡率が高くなる傾向があります。
基本的な治療(保存的治療)
- 安静と食事制限: ほとんどの患者様は、腸を安静に保つために、食事を控え、消化器の負担を減らします。
- 点滴治療: 脱水を防ぎ、全身の血流を改善するために、十分な点滴を行います。
- 原因薬剤の中止: 虚血を悪化させる可能性のある薬剤(血管収縮作用のある薬など)は、可能な限り中止または変更します。
- 抗生物質: 重症度が高い場合や、腸の感染が疑われる場合は、感染予防のために広範囲抗生物質を使用することがあります。
手術が必要となる場合
CT検査などで腸の壊死や穿孔(腸に穴が開くこと)が強く疑われる場合は、緊急手術を行います。手術では、壊死した腸管を切除し、患者さんの状態に応じて腸をつなぎ合わせる(吻合)、もしくは一時的に人工肛門を造設します。
再発予防
- 再発はまれですが、予防のためには、食物繊維の多い食事を心がけ、十分な水分補給を行い、規則的な排便習慣を身につけることが大切です。
- 脱水を避け、血圧の管理も重要です。また、過度なストレスや排便時のいきみも避けるようにしましょう。
この情報が、虚血性腸炎に対する理解を深める一助となれば幸いです。ご不明な点があれば、担当の医師または医療スタッフにお気軽にご質問ください。
主な原因
- 排便時のいきみや頻繁な下痢など、腸に大きな負担がかかり、一時的な血流減少が加わって発症します。
- 心臓の機能低下、ショック状態など、全身の血流が一時的に低下すると発症します。
リスク要因
特に以下の状況にある方は、発症しやすい傾向があります。
- 高齢の方: 特に動脈硬化がある高齢女性に多く見られますが、若い方でも発症することがあります。
- 動脈硬化性疾患
- 高血圧、糖尿病、高コレステロール血症などの生活習慣病。
- 心臓病(心不全、不整脈、心筋梗塞など)。
- 末梢動脈疾患。
- 便秘: 排便時のいきみが腸への負担となります。
- 特定の薬剤の使用
- 血管を収縮させる薬(例: ジギタリス、一部の鎮痛剤)。
- 一部の抗生物質や免疫抑制剤。
- 便秘薬の過剰使用。
- 腎臓病: 特に透析を受けている患者様。
- 手術後: 大動脈の手術後など、腸への血流が影響を受ける場合があります。
- 激しい運動: マラソンやトライアスロンなど、極度の運動によって腸への血流が減少し、脱水や電解質異常が重なることで発症することがあります。
- COVID-19感染: 重症のCOVID-19感染時に血栓ができやすくなったり、血流が低下したりすることで虚血性腸炎を発症することが報告されています。
- 大腸検査の準備: 大腸カメラの準備で腸が刺激され、一時的な血流減少が起こることも要因となる場合があります。
虚血性腸炎の治療は、その重症度と原因によって異なります。
通常、保存的治療により10日前後で症状が改善し、1〜2週間で完全に回復することが多いです。しかし、約15%の患者様では、腸の傷が治る過程で腸管が狭くなったり(狭窄)、約5%の患者様では腸が壊死してしまい、緊急手術が必要になることがあります。特に、右側の大腸に虚血が起きている場合は、小腸の虚血を伴うことが多く、重症化しやすく、手術が必要となる確率や死亡率が高くなる傾向があります。